Tạp chí Bảo hiểm xã hội
Chính trị | Kinh tế - Xã hội | Văn hóa - Thể thao | Sự kiện | Sức khỏe cộng đồng
Y tế TP. Hồ Chí Minh tiên phong trong chuyển đổi số, phát triển kỹ thuật chuyên sâu

Y tế TP. Hồ Chí Minh tiên phong trong chuyển đổi số, phát triển kỹ thuật chuyên sâu

01/11/2025 09:57

TP. Hồ Chí Minh là trung tâm y tế của phía Nam, là địa phương tiên phong trong chuyển đổi số và phát triển kỹ thuật chuyên sâu.

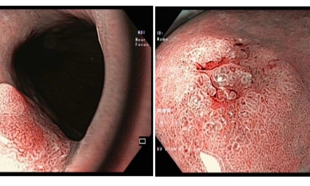
Kỹ thuật hiện đại giúp phát hiện sớm ung thư

Kỹ thuật hiện đại giúp phát hiện sớm ung thư

31/10/2025 16:53

Kỹ thuật cắt tách dưới niêm mạc qua nội soi, là bước tiến vượt bậc của y học hiện đại, giúp điều trị triệt để ung thư ở giai đoạn sớm.

Tăng tiếp cận dịch vụ y tế chất lượng cho người dân phía Đông TP. Hồ Chí Minh

Tăng tiếp cận dịch vụ y tế chất lượng cho người dân phía Đông TP. Hồ Chí Minh

31/10/2025 12:53

Bệnh viện Lê Văn Thịnh (TP. Hồ Chí Minh) vừa đưa vào sử dụng Hệ thống nội soi tiêu hóa ứng dụng trí tuệ nhân tạo (AI) thế hệ mới

Lần đầu tiên kết hợp cùng lúc 2 kỹ thuật đại phẫu cắt u tuyến yên tại Việt Nam

Lần đầu tiên kết hợp cùng lúc 2 kỹ thuật đại phẫu cắt u tuyến yên tại Việt Nam

29/10/2025 19:41

Bệnh viện Hữu nghị Việt Đức thực hiện thành công ca phẫu thuật kết hợp đồng thời mổ nội soi đường mũi và mổ mở sọ qua vi phẫu.

Kỹ thuật hiện đại giúp lấy lại nhịp cho trái tim “bị lỗi nhịp”

Kỹ thuật hiện đại giúp lấy lại nhịp cho trái tim “bị lỗi nhịp”

27/10/2025 14:08

Bệnh viện điều trị thành công rối loạn nhịp tim bằng kỹ thuật đốt điện sinh lý tim có hỗ trợ hệ thống lập bản đồ 3D mang lại trái tim khỏe mạnh cho bệnh nhân rối loạn nhịp.

logo-mobile-den.png
AI thúc đẩy y tế hiện đại nhưng con người phải “giữ tay lái”

AI thúc đẩy y tế hiện đại nhưng con người phải “giữ tay lái”

25/10/2025 21:53

Các chuyên gia nhận định trí tuệ nhân tạo (AI) đã chứng minh thế mạnh vượt trội trong y khoa hiện đại, song phải “tỉnh táo” khi sử dụng.

Hướng đến xây dựng hệ thống y tế thông minh

Hướng đến xây dựng hệ thống y tế thông minh

25/10/2025 17:00

BV Lê Văn Thịnh tổ chức Hội nghị khoa học quốc tế lần 2 năm 2025 chủ đề Chuyển đổi số - hướng đến xây dựng hệ thống y tế thông minh.

Cảnh báo bệnh não mô cầu đang gia tăng

Cảnh báo bệnh não mô cầu đang gia tăng

24/10/2025 20:22

Bệnh não mô cầu xâm lấn đang được các chuyên gia y tế cảnh báo vì mức độ nguy hiểm cao dù không phổ biến. Chỉ trong thời gian ngắn, vi khuẩn có thể gây nhiễm khuẩn huyết hoặc viêm màng não, khiến người bệnh tử vong nhanh chóng. Tại Việt Nam, số ca mắc đang có xu hướng tăng, đặc biệt ở nhóm thanh thiếu niên, đối tượng mang vi khuẩn mà không có triệu chứng rõ ràng.

Kỳ tích cứu người đàn ông gù vẹo nặng bị rò động tĩnh mạch hiếm gặp

Kỳ tích cứu người đàn ông gù vẹo nặng bị rò động tĩnh mạch hiếm gặp

13/10/2025 20:52

Hai tháng trước đây, anh N. bắt đầu xuất hiện đau cổ, tê yếu tay chân, khó vận động, tiến triển nhanh đến liệt gần như hoàn toàn tứ chi.

Xuyên đêm cứu sống nữ sinh 16 tuổi hôn mê vì xuất huyết não

Xuyên đêm cứu sống nữ sinh 16 tuổi hôn mê vì xuất huyết não

12/10/2025 09:07

Bị xuất huyết não, một học sinh 16 tuổi đột ngột hôn mê sâu đã được các bác sĩ cứu sống.

zone6.gif
Lần đầu tiên phẫu thuật thành công khối phình khổng lồ động mạch thận kèm ghép thận tự thân

Lần đầu tiên phẫu thuật thành công khối phình khổng lồ động mạch thận kèm ghép thận tự thân

10/10/2025 20:35

Lần đầu tiên tại Việt Nam áp dụng kỹ thuật ghép thận tự thân trong điều trị phình động mạch thận phức tạp.

Lối sống khiến nhiều người trẻ sớm mắc ung thư đường tiêu hoá

Lối sống khiến nhiều người trẻ sớm mắc ung thư đường tiêu hoá

04/10/2025 23:20

Lối sống thiếu khoa học, ăn uống vội vàng, lạm dụng thực phẩm chế biến sẵn, rượu bia và thiếu vận động... là những nguyên nhân chính dẫn đến tình trạng ung thư đường tiêu hoá.

Lợi ích to lớn của việc tái sử dụng kết quả xét nghiệm y học

Lợi ích to lớn của việc tái sử dụng kết quả xét nghiệm y học

04/10/2025 15:25

Tái sử dụng 1-2% số xét nghiệm cận lâm sàng, đã tiết kiệm được 300-600 tỷ đồng/năm, mang lại nhiều lợi ích khác cho người bệnh và xã hội.

Tìm lại chất lượng cuộc sống cho phụ nữ bị sa sàn chậu

Tìm lại chất lượng cuộc sống cho phụ nữ bị sa sàn chậu

03/10/2025 15:42

Sa sàn chậu là bệnh lý khá phổ biến ở phụ nữ, với tỷ lệ mắc ước tính từ 10 – 30% tại Việt Nam, thường gặp nhất ở độ tuổi 40 – 60

Bệnh viện Lê Văn Thịnh nhận chứng nhận tiêu chuẩn Bạch Kim của Hội Đột quỵ Thế giới

Bệnh viện Lê Văn Thịnh nhận chứng nhận tiêu chuẩn Bạch Kim của Hội Đột quỵ Thế giới

02/10/2025 11:50

Ngày 2/10, Bệnh viện Lê Văn Thịnh (TP. Hồ Chí Minh) vinh dự đón nhận chứng nhận tiêu chuẩn Bạch Kim (Platinum) từ Hội Đột quỵ Thế giới.

Bệnh nhân vỡ phình động mạch chủ ngực thoát

Bệnh nhân vỡ phình động mạch chủ ngực thoát "cửa tử" nhờ được trợ giúp

01/10/2025 10:37

Một bệnh nhân trung niên ở TP. Cần Thơ mới đây được nhập viện Bệnh viện Quốc tế S.I.S Cần Thơ trong tình trạng nguy kịch do vỡ phình động mạch chủ ngực đã được cứu sống

“Bệnh hiếm” cần được tăng nhận thức cộng đồng

“Bệnh hiếm” cần được tăng nhận thức cộng đồng

29/09/2025 17:49

“Bệnh hiếm” nhưng việc “tăng nhận thức cộng đồng” lại càng trở nên cần thiết để những người bệnh nhận được nhiều sự quan tâm hơn và tiếp cận được với những phương pháp điều trị tiên tiến.

Thành lập Hội Can thiệp mạch thần kinh Việt Nam – bước ngoặt mới cho chuyên ngành thần kinh

Thành lập Hội Can thiệp mạch thần kinh Việt Nam – bước ngoặt mới cho chuyên ngành thần kinh

27/09/2025 18:08

Tại Bệnh viện Trung ương Quân đội 108, diễn ra Lễ Công bố và trao quyết định thành lập Hội Can thiệp mạch thần kinh Việt Nam

Y tế công lập tại TP.Hồ Chí Minh “về đích” bệnh án điện tử

Y tế công lập tại TP.Hồ Chí Minh “về đích” bệnh án điện tử

26/09/2025 15:16

Tính đến nay, 60 bệnh viện công lập tại TP.Hồ Chí Minh (đạt tỷ lệ 100%) đã hoàn tất triển khai sử dụng bệnh án điện tử theo đúng lộ trình đề ra.

TP.Hồ Chí Minh: Thống nhất giá khám chữa bệnh, tạo điều kiện thuận lợi cho người dân

TP.Hồ Chí Minh: Thống nhất giá khám chữa bệnh, tạo điều kiện thuận lợi cho người dân

26/09/2025 13:27

HĐND TP.Hồ Chí Minh vừa ban hành Nghị quyết về thống nhất giá khám chữa bệnh tại các cơ sở y tế công lập trên địa bàn, đánh dấu bước đi quan trọng của thành phố trong nỗ lực cải cách y tế sau giai đoạn sắp xếp các đơn vị hành chính.

AGRIBANK -- TRAN THU THUY
Chữa trị thành công cho 3 ca bệnh khó ngay tại Đặc khu Côn Đảo

Chữa trị thành công cho 3 ca bệnh khó ngay tại Đặc khu Côn Đảo

26/09/2025 08:00

Bệnh viện Quân Dân y Đặc khu Côn Đảo (TP.Hồ Chí Minh) vừa phẫu thuật cho 3 ca bệnh khó ngay tại bệnh viện.

Điều trị trường hợp lao tuyến vú hiếm gặp trong thai kì

Điều trị trường hợp lao tuyến vú hiếm gặp trong thai kì

24/09/2025 07:51

Trải qua chuỗi ngày mệt mỏi, lo lắng, chị N. đã đến bệnh viện Hoàn Mỹ Sài Gòn khám, bác sĩ đã phát hiện căn nguyên thật sự – viêm lao tuyến vú, một thể lao ngoài phổi ít gặp.

Triển khai các giải pháp đột phá, tăng cường bảo vệ, chăm sóc và nâng cao sức khỏe Nhân dân

Triển khai các giải pháp đột phá, tăng cường bảo vệ, chăm sóc và nâng cao sức khỏe Nhân dân

23/09/2025 14:04

Chính phủ ban hành Chương trình hành động thực hiện Nghị quyết số 72-NQ/TW của Bộ Chính trị về một số giải pháp đột phá, tăng cường bảo vệ, chăm sóc và nâng cao sức khỏe Nhân dân.

Nhiều người trẻ bị hoại tử chỏm xương đùi nặng

Nhiều người trẻ bị hoại tử chỏm xương đùi nặng

22/09/2025 16:42

Hiện nay, khá nhiều người trẻ hoại tử chỏm xương đùi - căn bệnh dễ dẫn đến tàn phế nếu để muộn.

Khám bệnh, phát thuốc miễn phí cho 300 người cao tuổi, người yếu thế tại phường Hiệp Bình

Khám bệnh, phát thuốc miễn phí cho 300 người cao tuổi, người yếu thế tại phường Hiệp Bình

20/09/2025 13:09

Sáng 20/9, tại phường Hiệp Bình (TP.Hồ Chí Minh), đã diễn ra chương trình khám bệnh, phát thuốc miễn phí và tặng quà cho 300 người cao tuổi, người có hoàn cảnh khó khăn.

zone5.gif
Khởi động dự án máy khử rung tim tự động cho cộng đồng đầu tiên tại Việt Nam

Khởi động dự án máy khử rung tim tự động cho cộng đồng đầu tiên tại Việt Nam

19/09/2025 21:49

Ngày 19/9, Bệnh viện Đại học Y Hà Nội phối hợp cùng Tập đoàn FPT chính thức công bố triển khai dự án đặt máy khử rung tim tự động (AED) tại cộng đồng.

Bệnh nhân đột quỵ khó khăn ở Nam Trung bộ và Tây Nguyên đã có

Bệnh nhân đột quỵ khó khăn ở Nam Trung bộ và Tây Nguyên đã có "lời cam kết vàng"

19/09/2025 12:19

Sau 24 tháng nữa, bệnh nhân đột quỵ ở khu vực Nam Trung bộ và Tây Nguyên không còn lo lắng chuyện di chuyển xa xôi để bảo toàn tính mạng.

Thủ thuật EVAR hiện đại đem lại niềm vui cho bệnh nhân

Thủ thuật EVAR hiện đại đem lại niềm vui cho bệnh nhân

19/09/2025 09:09

Các bác sĩ vừa thực hiện thành công ca can thiệp động mạch chủ bụng bằng thủ thuật EVAR, cứu sống bệnh nhân bị phình động mạch chủ bụng.

Người Việt sống thọ nhưng chưa sống khỏe

Người Việt sống thọ nhưng chưa sống khỏe

18/09/2025 16:28

Tuổi thọ trung bình của người Việt Nam đã tăng nhanh, song “tuổi khỏe” chỉ dừng lại ở mức 64, thấp hơn nhiều so với Nhật Bản hay các quốc gia phát triển.

Bảo toàn tính mạng cho hai nữ bệnh nhân người nước ngoài

Bảo toàn tính mạng cho hai nữ bệnh nhân người nước ngoài

17/09/2025 17:29

Hai nữ bệnh nhân người Camphuchia nhập viện với tình trạng nguy kịch, đã được bệnh viện tại Việt Nam cấp cứu, chữa trị thành công.

zone9.jpg